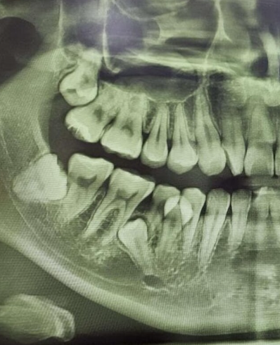
어느 날 갑자기 잇몸 구석이 욱신거리기 시작했다면, 그것은 인류 진화의 흔적이자 치과 의사들의 영원한 숙제인 사랑니가 존재감을 드러낸 신호일 가능성이 큽니다. 사랑니는 예쁘게 나서 제 역할을 하면 좋으련만, 보통은 좁은 잇몸 틈바구니에서 옆 치아를 괴롭히거나 매복되어 염증을 일으키기 일쑤입니다.

사랑니 발치 비용과 건강 실비보험 혜택
발치의 고통만큼이나 우리를 긴장하게 만드는 것이 바로 병원비인데, 다행히 사랑니 발치는 건강보험과 실손보험(실비)이라는 든든한 아군이 있어 생각보다 주머니 사정을 잘 지켜낼 수 있습니다.
사랑니 발치 비용은 발치의 난이도와 병원의 규모에 따라 천차만별입니다. 동네 치과의원에서 똑바로 난 사랑니를 단순 발치할 경우, 건강보험이 적용되면 본인 부담금은 약 1만 원에서 3만 원 내외로 매우 저렴합니다.


하지만 잇몸을 째고 치아를 쪼개서 꺼내야 하는 매복 발치나 복잡 발치로 넘어가면 비용은 3만 원에서 5만 원 선으로 올라갑니다. 만약 대학병원 같은 상급종합병원으로 원정을 떠난다면 기본 진찰료가 비싸지기 때문에 비용이 조금 더 추가될 수 있습니다.
참고로 전국 평균 비용은 4만 5천 원 수준이지만, 비급여 항목이 추가되느냐에 따라 최고 35만 원까지 나오는 경우도 있으니 '껌 값'이라고 방심해서는 안 됩니다.
건강보험 적용 기준을 잘 알면 돈을 더 아낄 수 있습니다. 기본적으로 통증이나 염증 치료 목적의 발치는 거의 100% 건강보험(급여) 혜택을 받습니다. 우리가 내는 돈은 전체 의료비의 약 30% 수준이며 나머지는 건강보험공단에서 부담합니다.
하지만 여기서 주의할 점은 비급여 항목입니다. 더 정밀한 진단을 위한 CT 촬영이나 통증을 줄여주는 수면마취, 그리고 발치 부위에 넣는 특수 지혈제 등은 보험이 적용되지 않는 비급여 항목이라 추가 비용이 발생할 수 있습니다.
지혈제를 넣을 거냐는 의사 선생님의 질문에 "제 피는 소중하니까요"라고 답하는 순간 결제 금액이 올라가는 마법을 경험하게 될 것입니다.


그렇다면 우리가 꼬박꼬박 내는 실손보험은 어떨까요? 결론부터 말씀드리면 2009년 8월 이후 가입한 실손보험이라면 대부분 치과 급여 항목에 대해 보장이 가능합니다.
치료 목적으로 발치하고 영수증에 급여 항목으로 찍힌 금액에서 보험사가 정한 자기부담금을 뺀 나머지 금액을 돌려받을 수 있습니다. 다만, 단순 미용이나 교정 전치 목적의 발치, 그리고 수면마취 같은 비급여 부분은 보험사마다 약관이 달라 보상에서 제외될 수 있습니다.
특히 1세대 실손보험 가입자라면 치과 치료 자체가 보장 범위에서 빠져 있을 수 있으니, 발치 전에 보험사 앱을 켜거나 고객센터에 "제 사랑니도 보험이 되나요?"라고 확인해 보는 지혜가 필요합니다.


보험금을 청구할 때는 서류를 꼼꼼히 챙겨야 두 번 걸음하지 않습니다. 카드 영수증이 아닌 병원에서 발급하는 정식 진료비 영수증과 항목별 상세 내역이 적힌 진료비 세부내역서가 필수입니다.
만약 처방받은 약값이 만 원 이상 나왔다면 약제비 영수증도 함께 챙기세요. 요즘은 보험사 앱으로 사진만 찍어 올리면 며칠 내로 입금되는 빠른 세상입니다.
다만, 총 병원비가 너무 적게 나왔을 경우 자기부담금을 빼고 나면 입금액이 0원인 민망한 상황이 생길 수 있으니 청구 최소 금액을 미리 체크해 보시기 바랍니다.
사랑니는 방치하면 인접 치아까지 망가뜨리는 빌런이 되기도 합니다. 돈 걱정 때문에 통증을 참기보다는, 보험 혜택을 꼼꼼히 챙겨서 하루라도 빨리 시원하게 뽑아버리는 것이 장기적으로는 임플란트 비용을 아끼는 최고의 재테크입니다.
현재 본인의 사랑니가 매복된 상태인지, 아니면 가입한 보험이 언제 것인지 알려주시면 훨씬 더 정확한 예상 영수증을 계산해 드릴 수 있습니다. 이제 용기를 내어 치과 예약 전화를 걸어보시는 건 어떨까요?
사랑니 발치 후 식사! 치통없이 식사하는 꿀팁
여러분, '사랑'을 앓다가 뽑아버린다는 그 무시무시한 사랑니! 아픈 것도 서러운데, 먹는 것까지 조심해야 한다니... 정말이지 "먹기 위해 사는데, 못 먹으면 무슨 재미로 사나?" 싶은 심정이죠?
infor.ppuub.com
사랑니 발치 후 음식 음주 식사 가능한가?
사랑니 발치 후에는 당장 뭘 먹고 뭘 마실 수 있는지 고민이 많으실 텐데요. '몸은 성인인데 입속은 신생아'가 된 것 같은 느낌이죠! 이 중요한 회복 기간 동안 우리의 입속 평화를 지키기 위한
infor.ppuub.com