스케일링을 받긴 받아야 하는데 아무래도 비용이 걱정되는건 어쩔수 없는거 같은데요. 아무리 겉모습이 화려해도 이빨 관리가 안 되어 있으면 곤란하겠죠. 오늘은 먹고 마시는 즐거움을 지켜주는 최후의 보루, 치과 스케일링에 대해 자세히 파헤쳐 보겠습니다.

스케일링 의료보험 비용과 기간, 비보험 가격
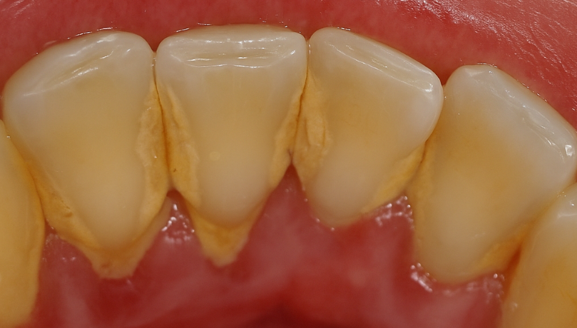
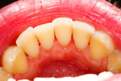
우리 입속에는 양치질만으로는 도저히 해결 안 되는 불청객이 있습니다. 바로 '치석'이죠. 음식물 찌꺼기가 침과 만나 돌처럼 딱딱하게 굳은 것인데, 이걸 방치하면 잇몸이 붓고 피가 나는 '풍치'의 원인이 됩니다.
쉽게 말해 입속에 작은 석굴암을 짓고 사는 셈이죠. 이 돌들을 깨부숴주는 작업이 바로 스케일링입니다.


국가가 쏘는 연 1회 찬스! 건강보험 적용 비용
치과 문턱이 높은 이유 중 하나가 바로 '비용'이죠. 하지만 다행히 대한민국 만 19세 이상 성인이라면 누구나 연 1회 건강보험 혜택을 받을 수 있습니다.
★ 본인부담금: 동네 치과(의원급) 기준으로 약 15,000원 ~ 23,000원 정도면 해결됩니다! 병원급은 2만 원대 중반으로 조금 더 비싸요.
★ 조건: 예방이나 초기 잇몸질환 치료 목적이어야 합니다.
★ 주의: "선생님, 저 담배 타르 착색된 것만 싹 지워주세요" 같은 순수 미용 목적은 보험 적용이 안 될 수 있으니 주의하세요!
"어라, 왜 6만 원이 나오죠?" 비보험 가격의 진실
보험 혜택은 1년에 딱 한 번입니다. 최근 시술일로부터 365일 기준 혹은 연 단위 갱신. 만약 이미 혜택을 썼는데 잇몸이 또 근질근질해서 치과를 찾는다면 '비보험'으로 전환됩니다.
● 일반 비보험 가격: 전국 평균 약 5만 원 ~ 7만 원 수준입니다.
● 프리미엄 옵션: 치아 광택(폴리싱)이나 고급 장비를 사용하는 경우 8만 원 ~ 10만 원대까지 올라가기도 합니다. 지갑 사정을 생각한다면 1년에 한 번 주는 보험 기회를 절대 놓치면 안 되겠죠?


시술 시간과 권장 주기
치과 의자에 누워있는 시간은 공포 영화 상영 시간보다 길게 느껴지지만, 실제 시술은 20~30분 내외면 끝납니다. 보통은 1년에 한 번이면 충분합니다.
하지만! 흡연자, 교정기 착용자, 혹은 치석이 남들보다 빛의 속도로 쌓이는 분들은 3~6개월 간격으로 관리해 주는 것이 좋습니다. 이때는 보험 혜택을 못 받더라도 내 잇몸 건강을 위해 과감히 투자하세요!
스케일링할 때 나는 "위잉~" 소리가 무서우시다고요? 그 소리는 입속 세균들이 집(치석)이 부서져서 내는 비명소리라고 생각해보세요. 조금은 마음이 편안해지지 않나요?
2026년에는 깨끗한 치아와 향기로운 입냄새(!)로 당당하게 웃으며 지내시길 바랍니다. 지금 바로 달력에 '스케일링 예약' 한 줄 적어보는 건 어떨까요?
인사돌 효능과 가격, 이가탄과 차이점
인사돌은 잇몸약이라는 거 아시죠? 아침, 저녁을 이를 닦을 때도 치아를 주구장창 닦기보다 치아 아래에 있는 잇몸을 쓸어서 닦아야 제대로 음식물을 제거하고 구강건강에도 좋다고 하니 치아
infor.ppuub.com
양치질 할때 피가나는 이유와 올바른 양치질 방법
양치질 하루에 몇 번 하시나요? 아침, 점심, 저녁 식사 후에 3번 하시나요? 식사 후에 5분 안에 하지 않는다면 아무 효과가 없다는 치과 선생님도 계시고 그렇다고 5분이 지났다고 안 하는 것보다
infor.ppuub.com